Перейти к основному содержанию
  • Комфортное
    выравнивание зубов
    прозрачными капами
  • Отбеливание зубов
    ZOOM 4 White Speed
    Белоснежная улыбка за один визит
  • А Вы довольны
    своей улыбкой?
    Керамические виниры -
    Натуральная красота улыбки!
  • Компьютерная
    томография
    3D 2D изображение за одно сканирование
    Низкая доза рентгеновского излучения
альтернатива простым частичным съемным протезам.

Бюгельные протезы

Съемное протезирование применяется в стоматологии тогда, когда по разным причинам невозможно восстановить зубной ряд коронками и имплантами. Бюгельные протезы применяются при частичном протезировании. При полном отсутствии зубов может применяться полный съемный протез.

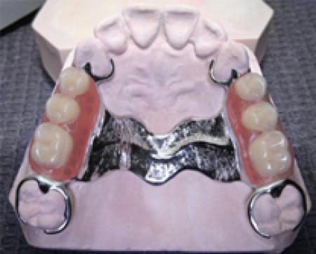
Зубные бюгельные протезы

Бюгели - что это?

Зубные бюгельные протезы - бюгели (Bugel переводится с немецкого как металлическая дуга, скоба) - являются значительно более совершенной альтернативой простым частичным съемным протезам. Они состоят из металлического каркаса, пластмассовых частей и фиксирующих элементов.

Металлический каркас
Пластмассовая часть
Фиксирующие элементы
  • Кламмеры (крючки)
  • Замковые крепления (или аттачмент)
  • Телескопические коронки

Виды фиксации

Бюгельные протезы зубов различаются по виду фиксации на зубах:

Кламмеры (крючки)

Самый простой и дешевый бюгельный протез. Имеет несколько пружинистых кламмеров (крючков), которыми он "цепляется" за зубы.

Замковые крепления

Замковые крепления (или аттачмент) бывают разные по своей конструкции. Самый распространенный вид аттачмента - шаровидное замковое крепление.

Телескопические коронки.

Телескопические коронки состоят из двух идеально подходящих друг к другу частей: первичного и вторичного телескопов.

Цены на съемные протезы

Операция

Цена

Бюгельный протез на кламмерах

75 000 руб.

Бюгельный протез на микрозамках

95 000 руб.

Полный съемный акриловый протез

70 000 руб.

Частичный съемный акриловый протез

50 000 руб.

Полный съемный протез АкриФри

80 000 руб.

Частичный съемный протез АкриФри, до 3-х зубов

50 000 руб.

Частичный съемный протез АкриФри, от 4-х зубов

70 000 руб.

Бюгельные протезы на кламмерах.

Самый простой шаг к восстановлению зубов (и, соответственно, самый дешевый) -  бюгельный протез на кламмерах. Он имеет несколько пружинистых кламмеров (крючков), которыми он "цепляется" за зубы. Такие бюгельные протезы зубов выполняют требования по функциональной части - пережевыванию пищи, но эстетические качества оставляют желать лучшего: при разговоре и улыбке Ваш собеседник не сможет не заметить металлических "крючков" на зубах на Ваших зубах. Также, при постоянном снятии и одевании протеза "крючки" травмируют зубную эмаль, зубы становятся чувствительными. Нарушается и гигиена полости рта, так как частички пищи задерживаются кламмерами.

Бюгели на замках и телескопических коронках.

Существует несколько альтернативных видов фиксации бюгельного протеза, отвечающих высоким эстетическим требованиям пациентов: замки (бюгельные протезы на замках) и телескопические коронки. В стоматологии бюгельные протезы на замках, с фиксацией на зубных имплантах или телескопическими коронками называются комбинированными протезами, так как состоят из съемной части (непосредственно сам протез) и несъемных частей, которые надежно фиксируются на зубах на цемент или на импланты с помощью специальных винтов.

Замковые крепления

Замковые крепления (или аттачмент) бывают разные по своей конструкции, каждый вид имеет свои показания и противопоказания.

Самый распространенный вид аттачмента - шаровидное замковое крепление.

Такой аттачмент состоит из двух частей: металлического шарика (патрица), который прикреплен к коронке, и ответной пластмассовой части (матрица), которая фиксируется в протезе. 

Коронки фиксируются на зубах на постоянный цемент и являются несъемной частью комбинированного протеза.

В момент одевания протеза пластмассовая матрица обхватывает металлический шарик на коронке. Таким образом бюгельные протезы зубов "защелкиваются" и надежно удерживаются на своем месте.

Телескопические коронки.

Другой вид комбинированных протезов имеет в качестве фиксирующих элементов телескопические коронки, которые состоят из двух идеально подходящих друг к другу частей: первичного и вторичного телескопов. Первичный телескоп цементируется на зубе, а вторичный телескоп крепится в самом протезе. В момент одевания зубного бюгельного протеза первичный телескоп входит во вторичный, надежная фиксация обеспечивается силой трения, возникающей между стенками телескопов, так как они идеально подходят друг к другу. Такой вид протезирования показан в том случае, если на челюсти осталось мало зубов. Жевательная нагрузка равномерно распределяется по всей челюсти, оставшиеся зубы не перегружаются и не расшатываются.

Записаться на консультацию

Не забудьте прийти к врачу-стоматологу на следующий день после получения нового протеза для его коррекции. Если Вы чувствуете, что протез натирает десну, сильно давит в одной или нескольких точках - сообщите об этом Вашему стоматологу, и он внесет необходимые изменения в дно протеза. Следуйте всем рекомендациям врача-стоматолога!

 

Записаться

Протезирование при пародонтите.

Также хорошо использовать телескопические коронки при явлении пародонтита, когда уже имеется небольшая подвижность зубов, и их прогноз на будущее не благоприятный. В этом случае телескопические коронки изготавливаются на максимально возможное количество зубов. Так как жевательная нагрузка равномерно распределяется по всему зубному ряду, срок "службы" подвижных зубов значительно продлевается. В будущем, при необходимости удаления какого-то зуба, протез продолжает держаться на оставшихся телескопических коронках.

Как привыкнуть к бюгельному протезу.

Разумеется, первые дни ношения съемного протеза связаны с определенным дискомфортом для пациента, так как во рту появился "новый предмет". Немного нарушается дикция (особенно произнесение букв "С", "З", "Ж", "Ш", "Щ"). Но все это временно. За несколько дней пациент привыкает к протезу, язык адаптируется к наличию во рту "нового предмета" и дикция восстанавливается.

Это важно!

Комбинированное протезирование является одним из самых сложных разделов ортопедической стоматологии, требующее высокой квалификации и современных знаний от врача-стоматолога и от сотрудников зуботехнической лаборатории. Доверяйте только профессионалам!

Не забудьте прийти к врачу-стоматологу на следующий день после получения нового протеза для его коррекции. Если Вы чувствуете, что протез натирает десну, сильно давит в одной или нескольких точках - сообщите об этом Вашему стоматологу, и он внесет необходимые изменения в дно протеза. Следуйте всем рекомендациям врача-стоматолога!

Для чистки протеза используйте только специально предназначенные для этого средства. Не используйте обычную зубную пасту, так как она рассчитана на твердую зубную эмаль и может повредить гладко отполированную поверхность протеза.

Записаться к специалисту

Отправляя данную форму, я подтверждаю, что ознакомлен(а) с Политикой в отношении обработки персональных данных и даю свое Согласие на обработку персональных данных, в соответствии с требованиями Федерального закона № 152-ФЗ «О персональных данных».

Уход за бюгельными протезами

Бюгельные протезы зубов требуют определенного постоянного ухода. Необходимо чистить наружные и внутренние поверхности два-три раза в день после приема пищи.