Оказавшись в нерве, инфекция может спуститься к верхушкам корней и выйти за пределы каналов зуба в окружающую зуб ткань - периодонт. Организм сразу включает защитную реакцию и строит вокруг очага инфекции непроницаемую мембрану, залючая ее в герметичный "мешок" и отделяя ее от стерильных тканей. Это и есть киста зуба, в которой продолжают жить и размножаться бактерии, киста растет дальше. Еще одной причиной образования кисты под зубом может быть некачественное ранее проведенное лечение каналов.
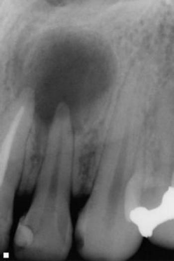
Киста зуба может не давать ни одного из вышеперечисленных симптомов, развиваться безболезненно. Тем не менее кисту зуба необходимо лечить. Такие кисты, как правило, выявляются случайно на рентгеновских снимках.
При наличии у Вас одного или нескольких из вышеперечисленных симптомов немедленно обратитесь к врачу-стоматологу!
Кисту зуба небольшого размера можно вылечить. Для этого прежде всего необходимо лечение каналов зуба: необходимо качественно обработать ВСЕ корневые каналы зуба, обработать их антисептиком и заполнить лекарственным препаратом на одну-две недели для того, чтобы простерилизовать ткани зуба и содержимое самой кисты. Далее каналы зуба пломбируются специальным герметиком. При отсутствии болевых симптомов в течение следующих двух недель после пломбирования каналов можно приступать к реставрации самого зуба. Мы рекомендуем после лечения каналов восстанавливать зуб с помощью коронки с культевой вкладкой.
Лечить кисту зуба большого размера не имеет смысла. Зуб с большой кистой подлежит удалению. По прошествии 2-3 месяцев после удаления отсутствующий зуб восстанавливается с помощью зубного имплантата.
Безболезненное лечение каналов является самой сложной манипуляцией в терапевтической стоматологии. Для успешного и долгосрочного результата требуется высокий профессионализм врача-стоматолога, современные материалы и инструменты.
Для качественной обработки каналов зуба в стоматологии применяются гибкие никель-титановые (Ni-Ti) инструменты, движение которых контролирует встроенный в специальный аппарат компьютер. С помощью этих инструментов мы качественно убираем инфицированные ткани из каналов и правильно подготавливаем их к последующему промыванию и пломбированию. Длину каналов мы измеряем электронным апекс-локатором.
В случаях, когда мы обнаруживаем большое количество инфекции в каналах зуба, мы применяем специальные кальций-содержащие препараты, которые закладываем в каналы и оставляем там на несколько дней для полного уничтожения инфекции в зубе и окружающих его тканях. Затем вылеченные каналы зуба пломбируются постоянным пломбировочным материалом – гуттаперчей с герметиком.
Для диагностики, контроля результата и качества лечения зубов мы используем микроскоп, компьютерную томографию и цифровой рентген – радиовизиограф, в котором привычная всем рентгеновская пленка заменена цифровым датчиком, требующим значительно меньшую мощность рентгеновского излучения.
Лучевая нагрузка от нашего цифрового рентген-аппарата на 70% меньше чем от пленочных аналогов.




